人民网西安5月31日电 (记者李志强)记者从乐鱼网页版页面登录获悉,植物科学领域的国际顶尖期刊《自然-植物》(Nature Plants)杂志,于近日在线刊发了该校地质学系刘丽静副教授等人的最新成果——《奥陶纪海洋轮藻及其对陆地植物起源的启示》,宣告在中国塔里木和鄂尔多斯盆地发现了地球上已知最早的轮藻门化石。该研究将轮藻门化石的地质记录从晚志留世提前到晚奥陶世,将其起源时间向前推进了约2800万年,为陆地植物奥陶纪起源于轮藻门的推论提供了关键的化石证据。
陆地植物(又称有胚植物)的起源影响了地球生物圈、岩石圈和大气圈,极大地改变了地球表面环境,是地球演化历史上重要的生物演化事件。

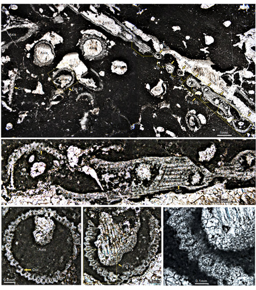
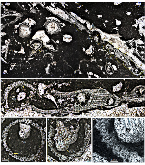
已知最古老的轮藻门化石奇迹塔里木轮藻。受访者供图
据介绍,最新的分子钟研究认为,陆地植物在寒武纪早期——早奥陶世期间起源于轮藻门。然而,目前最早的双星藻纲化石记录来自于中泥盆世,而最确切最古老的轮藻门化石记录来自晚志留世(425Ma)的陆相地层的轮藻纲化石。因此,晚志留世之前轮藻门化石记录的缺乏,阻碍了人们对陆地植物是否在奥陶纪期间从轮藻门演化而来的认识。
刘丽静等人的研究首次发现了来自塔里木盆地晚奥陶世早期(凯迪早期)以及鄂尔多斯晚奥陶世早期(凯迪中期)(450Ma)的海相碳酸盐岩地层中的海生轮藻钙质叶状体化石。

基于化石和现代轮藻纲构建的奇迹塔里木轮藻复原图(乐鱼网页版页面登录博物馆刘茜绘制)
“让人惊讶的是,此次在塔里木盆地发现的轮藻纲叶状体关键特征的正模标本,化石保存状态堪称奇迹般,主轴上有轮生小枝,且有节与节间分化,节间上覆盖有纵向排列的皮层细胞,小枝也具有皮层细胞。正因如此,我们团队把它骄傲地命名为奇迹塔里木轮藻。” 刘丽静说。
另外,研究团队还发现了稀少的可能是覆盖藏卵器的外壳化石,它们的叶状体和现生的轮藻非常接近,表明轮藻叶状体演化非常保守。同时,由于其皮层细胞更多,缺乏复杂的外壳和钙化藏卵器等特征,被认为是轮藻纲的基干类群。
研究团队综合前人关于形态、解剖、基因的发现对这次发现开展了系统发育分析,进一步确认了陆地植物与轮藻门的演化关系。该发现首次表明在凯迪早期之前已经出现了从轮藻门向陆地植物的进化过程中关键的形态创新(如多细胞分枝、卵式生殖等),这为陆地植物于奥陶纪起源于轮藻门的推论提供了关键化石证据。
原文链接:http://sn.people.com.cn/n2/2025/0531/c226647-41245985.html